![]() Whitening |
|---|
![]() Zoom Whitening |
![]() White teeth |
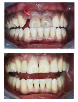
Teeth Whitening
The Care You Deserve
Tooth whitening is one of the most popular cosmetic treatments available and it is the perfect way to boost your smile (and confidence).
Teeth whitening is the process of removing stains and discolouration from the teeth through dental bleaching and is one of the easiest ways to enhance your looks.
​
TAKE HOME TOOTH WHITENING SYSTEM
We take an impression of your teeth and make whitening trays to fit your teeth accurately. Once the trays are made we will give you them along with tubes of whitening gel to wear over a period of 2 – 3 weeks.
​
ZOOM IN SURGERY WHITENING SYSTEM
Zoom in surgery whitening is a professionally delivered in surgery procedure with the added wow factor. It is ideal for patients who would prefer their whitening done in the shortest possible time and in the hands of our expert team members.
On average teeth will whiten up top 6 shades lighter in just 45 minutes. With Zoom, patients experience little or no sensitivity as a result of its unique formulation.






